e-Stomatology.ru

Рейтинг@Mail.ru Яндекс.Метрика

Официальный сайт Стоматологической Ассоциации России


Чемпионат стоматологического мастерства

Чемпионат стоматологического мастерства 2014


Итоги конкурса "Лучшая работа в эстетической стоматологии 2014"



Репортаж о Всероссийском Чемпионате СтАР
"Лучшая работа в эстетической стоматологии"
и выездных Финальных конкурсах в номинациях
"Эстетическая реставрация зубов" и "Медицинское отбеливание зубов"

В СтАР есть добрая традиция - проводить Чемпионат стоматологического мастерства СтАРпо эстетической стоматологии в рамках Стоматологических форумов, посвященных Дню России 12 июня: Самара-2008, Ноябрьск-2009, Санкт – Петербург-2010, Краснодар-2011, Смоленск - 2012 г., Чебоксары – 2013. Спустя 6 лет форум вновь состоялся в Самаре на базе НУЗ «Дорожная Стоматологическая Поликлиника» ОАО «РЖД» 12-13 июня 2014 года.

Организаторами конференции и чемпионата выступили: Стоматологическая ассоциация России(СтАР), Министерство здравоохранения Самарской области, ГБОУ ВПО СамГМУ Минздрава России, Стоматологическая ассоциация Самарской области, НИИАМС, НУЗ «Дорожная стоматологическая поликлиника» ОАО «РЖД», ООО «Чемпионат стоматологического мастерства».

Торжественность события присутствовала на каждом шагу еще до сбора всех участников на официальном открытии мероприятий в конференц-зале. По периметру здания участников чемпионата и форума с улыбкой встречали волонтеры в одежде с символикой СтАР, яркие надувные шары, информационные указатели, раздаточный материал. Два флага, развивающихся перед входом, с символикой Стоматологической Ассоциации России и Дорожной Стоматологической Поликлиники, придавали еще более праздничную атмосферу.

С приветственным словом на открытии научно- практической конференции: «Эстетическая стоматология»и Всероссийского финала Чемпионата стоматологического мастерства СтАР «Лучшая работа в эстетической стоматологии» - 2014 выступили:

  • СадовскийВ.В. – Президент Стоматологической ассоциации России, директор Чемпионата стоматологического мастерства, директор НИИАМС.
  • Котельников Г.П. - Профессор, ректор ГБОУ ВПО СамГМУ МЗ РФ , академик РАН РФ.
  • Гридасов Г.Н. – Министр здравоохранения Самарской области, заместитель председателя Правительства Самарской области.
  • Митряев А.И. – Начальник Региональной дирекции медицинского обеспечения на Куйбышевской ЖД.
  • Трунин Д.А. – Профессор, Вице-Президент СтАР, Главный стоматолог Приволжского округа и директор стоматологического института СамГМУ.

Параллельно в конференц-зале проходила научно-практическая конференция: «Эстетическая стоматология», на которой были представлены доклады:

  • «Клинические технологии предотвращения рецидивирующего кариеса в амбулаторной стоматологии» - Садовский Владимир Викторович, Президент Стоматологической Ассоциации России, г. Москва
  • «Выездные чемпионаты стоматологического мастерства от Самары до Самары» - Митронин Александр Валентинович, д.м.н., профессор, заведующий кафедрой кариесологии и эндодонтии МГМСУ им. А.И. Евдокимова, декан стоматологического факультета, г. Москва
  • «Прямая реставрация зубов: прошлое, настоящее и будущее» - Макеева Ирина Михайловна, д.м.н., профессор, заведующая кафедрой терапевтической стоматологии Первого Московского медицинского государственного университета
  • «Эстетическая реставрация зубов композитными материалами: отдаленные результаты» -Николаев Александр Иванович, заведующий кафедрой терапевтической стоматологии Смоленской государственной медицинской академии, доктор медицинских наук; Медведева Татьяна Михайловна, городская стоматологическая поликлиника No 1 г. Смоленска, врач-стоматолог, г. Смоленск
  • «CAD/CAM-технологии в эстетической стоматологии» - Князев Игорь Станиславович, международный CEREC-тренер;Гильмияров Эдуард Максимович, д.м.н., профессор, заведующий кафедрой терапевтической стоматологии СамГМУ, г. Самара
  • «Современные аспекты световой полимеризации композитных материалов в эстетической стоматологии» - Митронин Александр Валентинович, д.м.н., профессор, заведующий кафедрой кариесологии и эндодонтии МГМСУ им. А.И. Евдокимова, декан стоматологического факультета, г. Москва
  • «Малоинвазивный подход к тотальной реконструкции окклюзии» - Гришин Сергей Юрьевич, к.м.н., г. Киров
  • «Индивидуализация медико-технологического алгоритма медицинского отбеливания зубов» - Левченкова Наталья Сергеевна, доцент кафедры терапевтической стоматологии Смоленской государственной медицинской академии, кандидат медицинских наук; Николаев Александр Иванович, заведующий кафедрой терапевтической стоматологии Смоленской государственной медицинской академии, д.м.н.
  • «Некариозные поражения зубов. Практические рекомендации к их коррекции» - Власова Наталья Николаевна, доцент, к.м.н. г. Москва;

Жюри конкурса «Художественная реставрация зубов» было представлено следующими коллегами:

Председатель жюри:

Гильмияров Эдуард Максимович – д.м.н., профессор, зав. кафедрой терапевтической стоматологии СамГМУ, Председатель секции Эстетической стоматологии СтАР.

Заместители Председателя жюри:

Митронин Александр Валентинович- профессор, д.м.н., заведующий кафедрой кариесологии и эндодонтии МГМСУ им. А.И. Евдокимова, Заслуженный врач РФ.

Николаев Александр Иванович – д.м.н., зав. кафедрой терапевтической стоматологии СмолГМА.

Технологический Председатель жюри:

Гришин Сергей Юрьевич– к.м.н., лектор FDI, врач-стоматолог (г. Киров)

Члены жюри:

Макеева Ирина Михайловна - д.м.н., профессор, зав.кафедрой терапевтической стоматологии ПервогоМГМУ им. Сеченова;

Власова Наталья Николаевна – доцент кафедры терапевтической стоматологии Первого МГМУ им. Сеченова

Чернов Михаил Юрьевич – врач стоматолог клинки ArtOral г. Москва, чемпион России по Художественной реставрации 2013 года.

Жюри конкурса «Медицинское отбеливание зубов» было представлено следующими коллегами:

Председатель жюри:

Николаев Александр Иванович – д.м.н., зав. кафедрой терапевтической стоматологии СмолГМА.

Заместители Председателя жюри:

Власова Наталья Николаевна– доцент кафедры терапевтической стоматологии Первого МГМУ им. Сеченова

Члены жюри:

Гильмияров ЭдуардМаксимович – д.м.н., профессор, зав. кафедрой терапевтической стоматологии СамГМУ

Левченко Наталья Сергеевна – к.м.н., доцент кафедры терапевтической стоматологии СмолГМА.

Вергизаева Елена Сергеевна– к.м.н., Стоматолог-терапевтBOSCO Clinica, г. Москва

Партнерами Чемпионата в номинации «Художественная реставрация зубов» явились:

Генеральный партнер -3MESPE

Золотой Партнер - ВАЛЛЕКС М (линия DMG)

Главные партнеры:

  • в номинации «Боры»: SS White
  • в номинации «Стоматологический Интернет - магазин»: FrankDental
  • в номинации «Гнатология в эстетической стоматологии»: «8 Микрон»

Партнерами Чемпионата в номинации «Медицинское отбеливание зубов» явились:

Генеральный партнер - PHILIPSZOOM!

Платиновый Партнер - KLOX

Главный партнер в номинации «Препараты против гиперчувствительности зубов»: Humanchemie–Глубокий фторид «Эмаль-герметизирующий ликвид»

В преддверии конкурса по «Медицинскому отбеливанию зубов», пока участники конкурса по реставрации боролись за звание финалиста, прошел мастер класс по медицинскому отбеливанию зубов для участников конкурса. Мастер – класс провела Вергизаева Елена Сергеевна - к.м.н., стоматолог-терапевт BOSCO Clinica, г. Москва.

Участники же конкурса, начали выполнение конкретной клинической задачи, полученнойпри жеребьевке. Составив план лечения, осуществляли этап за этапом.

Начав с определения цвета, провели профессиональную гигиену полости рта, подготовили операционное поле, установили рабердам. После препаривания установили матричные системы и приступили к реставрационной работе. Выложили из материала дентиновое тело и слой за слоем восстанавливали структуру эмали, обращая внимания на индивидуальные особенности эталонного зуба.
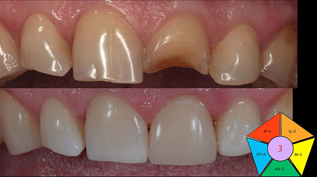
После приступили к контурированию реставрации и далее выполнили протокол полировки.Каждый этап былфотозадокументирован и представлен жюри на обсуждение этапов работы.Входе финала ЧСМ все участники показали высокий уровень профессиональной подготовки. Каждое рабочее место было оснащено комплектом материалов: FiltekUltimate - нанокомпозитный реставрационный материал, профессиональный набор; FiltekUltmateFlowable - жидкотекучий реставрационный материал; адгезивная система и протравочный гель, так же участники могли использоватьсвой привычный в работе материал.Выбор материала зависел от желания доктора. В итоге жюри присуждало места финалистам на основе пяти параметров: ФОРМА (Ф), ЦВЕТ (Ц), МОРФОЛОГИЯ (М), КРАЕВАЯ АДАПТАЦИЯ (КА), ОТНОШЕНИЕ К ОКРУЖАЮЩИМ ТКАНЯМ (ОТ).Лица, набравшие наименьшее количество ошибок по каждому из параметров и в совокупности, были признаны победителями.


На фото: одна из работ конкурсантов

Первый день закончился торжественным ужином участников, членов жюри и организационного комитета на теплоходе по реке Волга, где незабываемые впечатления на всех произвел Салют в честь празднования Дня России, а так же прекрасное музыкальное сопровождение, исполненное студентами СамГМУ!

Второй день начал свою работу с проведения жеребьевки среди участников Чемпионата номинации «Медицинское отбеливание зубов». Участники провелиэтапы процедуры лампового отбеливания Philips ZOOM:оценили состояния полости рта пациента; сделали предварительную полировку; нанесли гель ReliefACPна поверхность зубов на 10 – 15 минут до начала процедуры по отбеливанию зубов; использовали ректрактор и нанесли Liquidam - материал для изоляции мягких тканей и провели процедуру экспозиции геля по 15 минут; после процедуры пациенту дали рекомендации соблюдать «белую» диету и повторно нанесли гель ReliefACP на 30 минут; для поддержания эффекта отбеливания, рекомендовали использовать системы домашнего отбеливания (ZoomNiteWhite, DayWhite) и звуковую зубную щетку PhilipsSonicare.Во время работы участников, члены жюри отмечали правильность этапов работы, оценивая грамотность и четкость выполнения, соблюдение временных рамок и отсутствия осложнений и эстетический результат отбеливания зубов.

Торжественного награждение состоялось в конференц-зале «Дорожной стоматологической поликлиники» для участников, членов жюри и гостей чемпионата был подготовлен концерт силами стоматологического института СамГМУ.

Партнерами Чемпионата были представлены призы всем участникам

Компания 3М, являясь инновационной и высокотехнологичной компанией, поддерживает образовательные проекты и конкурсы, выявляющие наиболее талантливых врачей-стоматологов и предоставляет им возможность продолжить свое обучение, получить мануальные навыки у всемирно известных стоматологов-практиков, постоянно совершенствовать свой профессиональный уровень. Ни для кого не секрет, что, даже покупая самый лучший стоматологический материал, важно уметь им работать, с помощью него получать естественные реставрации, радующие и врача, и пациента. Именно поэтому призеры конкурса СтАР получили возможность поучиться у таких мастеров как Вальтер Девото (StyleitlianoGroup) и Максим Белоград (MicrovisionGroup) в рамках конференции "Styleitaliano мировое турне", которая пройдет в Москве, а победитель сможет участвовать в одном из ведущих мероприятий по эндодонтии и реставрационной стоматологии "Квинтэссенция Эндодонтии", получить новые книги издательства "Азбука Стоматолога", а также перенять опыт таких мастеров как Леонардо Бакерини, ХордиМанаута, Илья Мер, Йорг Шнайдер и других.

Компания Philips, занимает лидирующие позиции на мировом рынке, успех которой неразрывно связан с развитием передовых инноваций, направленных на улучшение здоровья и благополучия людей. Производство клинических и домашних систем профессионального отбеливания зубов «Philips ZOOM!» - одно из самых безопасных и эффективных систем для проведения процедуры отбеливания в клинических и домашних условиях («DayWhite» - дневного применения, «NiteWhite» - ночного применения). Philips является одним из ведущих мировых производителей высококачественных средств гигиены полости рта: звуковая зубная щетка PhilipsSonicare, зубная паста BreathRx, средства для укрепления эмали и снятия чувствительности зубов Гель Relief. Победителю Чемпионата была вручена лампа для клинического отбеливания «Philips ZOOM!». Победитель в номинации Гран-при, получил подарок - систему домашнего отбеливания «NiteWhite».Все участники Чемпионата стоматологического мастерства в номинации «Медицинское отбеливание зубов» получили в подарок звуковую электрическую щетку PhilipsSonicareFlexCarePlatinum.

Компания DMG, предоставила подарок - комплект инновационных реставрационных материалов: Ecusphere, IonositBaseliner, Luxacore Z.

* Данные материалыDMGимеют высшее экспертное признание профессиональным стоматологическим сообществом - Знак «Одобрено СтАР».

Компания SS White, поставщик алмазных и твердосплавных боров и дисков предоставила подарки - наборы боров необходимый в работе над эстетической реставрацией зубов.

* Данные материалы SS Whiteимеют высшее экспертное признание профессиональным стоматологическим сообществом - Знак «Одобрено СтАР».

Компания FrankDental, предоставила участникам конкурса и конференции подарочные купоны на скидку в Интернет магазине bory.ru от 10% до 30%.

Компания «8 Микрон», предоставила подарок - обучающий фильм, сертификат на обучение по гнатологии на авторский курс Чикунова Сергея Олеговича и купон на скидку на бинокулярыCarlZeiss.

Компания «ДенталМедРусАльянс» , представляющая в России продукцию «Humanchemie»-Глубокие фториды и депофорез, а также продукцию «KLOX» подарила всем финалистам подписку на журналы «МАЭСТРО» и «ЭКОНОМИКА И МЕНЕДЖМЕНТ В СТОМАТОЛОГИИ».

Данные средства массовой информации имеют статус официального печатного органа СтАР

ФИНАЛИСТЫ:

Конкурс «Художественная реставрация зубов» завершился следующими результатами:

1 место: Сазонова Екатерина Анатольевна (г. Самара)

2 место: Левина Наталья Михайловна (г. Самара)

3 место: Термышева Наталья Николаевна (г. Чебоксары)

Звания лауреатов были присвоены:

  • Березин Константин Алексеевич (г. Казань)
  • Салдатова Евгения Сергеевна (г. Уфа)

Конкурс «Медицинское отбеливание зубов» завершился следующими результатами:

1 место заняла Магсумова Оксана Александровна (г. Самара)

2 место разделили: Ермолова Ирина Васильевна (г. Самара) и Демиденко Наталия Леонидовна(г. Чебоксары)

3 место разделили: Пряхина Ольга Евгеньевна(г. Самара) и Кудякова Алина Африкановна (г. Чебоксары)

Гран При Жюри присудило Зюлькиной Ларисе Алексеевне(г. Пенза)

ОРГАНИЗАТОРЫ:

  • Стоматологическая ассоциация России
  • Министерство здравоохранения Самарской области
  • ГБОУ ВПО СамГМУ Минздрава России
  • Стоматологическая ассоциация Самарской области
  • НИИАМС
  • НУЗ «Дорожная стоматологическая поликлиника» ОАО «РЖД»
  • ООО «Чемпионат стоматологического мастерства».

До новых встреч в следующем году!

Мельникова Наталья Юрьевна
Аадминистратор Чемпионата стоматологического мастерства
Телефон: 8 (495) 223-69-30
E-mail: marketing-star@mail.ru
125047, г. Москва, 1-й Тверской-Ямской пер., д. 16

ФОТОРЕПОРТАЖ